CIHR Funding Leads to Breakthroughs in Parkinson’s Research

Dr. Peter McPherson

Every day, 60 Canadians are diagnosed with Parkinson’s disease, a number that is expected to increase as our population ages. There remains no cure for this brain disease.

Finding a cure is difficult because there are multiple factors influencing Parkinson’s disease development. Divided between genetic and non-genetic causes, the diversity of the illness is astounding—and troublesome. Parkinson’s presents differently in every patient, and the only way to confirm a definitive diagnosis is after death, when a pathologist can examine the brain tissue for the presence of abnormal clumps of proteins growing in the neuron called Lewy bodies.

As Lewy bodies accumulate, they gradually kill nerve cells, resulting in tremors, stiffness, difficulty walking and speaking, and impaired balance, all symptoms of Parkinson’s.

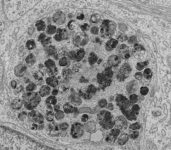
A recent breakthrough by Dr. Peter McPherson’s lab at the Montreal Neurological Institute at McGill University has contributed to a better understanding of the link between Lewy bodies and Parkinson’s. He and his team have successfully grown Lewy bodies in their lab.

Lewy bodies

“Before this, no one had made Lewy bodies in cells grown in a Petri dish,” said Dr. McPherson. “We can now begin to study if the Lewy body is causing the death of the neurons leading to Parkinson’s, or if the Lewy body is an attempt by the cell to prevent death from some other mechanism? We couldn’t know until we managed to make Lewy bodies in the lab.”

If this finding leads to earlier diagnoses and better treatments, doctors can help slow the disease’s progression and improve the patient’s quality of life.

Across the McGill campus, biochemist Dr. Kalle Gehring is studying the genetic causes of Parkinson’s. “80 to 90 per cent of patients have sporadic Parkinson’s,” he said, “and we don’t know what causes it. The remaining cases are genetic with about fifteen different genes responsible.”

PINK1 and parkin are two of the genes that play a role in genetic Parkinson’s disease. Normally, they work together to keep mitochondria, the cell’s energy producers, healthy. When parkin malfunctions due to mutations, it cannot transmit the message for the cell to remove damaged mitochondria. The damaged mitochondria pollute the neuron cell, leading to cell death.

Dr. Kalle Gehring

PINK1 and parkin mutations are among the most common causes of early-onset Parkinson’s, which affects those aged 50 and younger.

“It’s a small number of patients who have this form of Parkinson’s, but for them, this discovery could turn into a cure,” says Dr. Gehring.

Gehring’s lab has characterized a compound that restores normal functioning of parkin. Dr. Gehring explains that the compound is not currently usable as medicine but is working to develop other compounds that work the same way and “are more amenable to be used as a drug.”

Parkinson’s research progresses slowly, but every milestone is worth celebrating. Dr. McPherson noted that Lewy bodies were discovered in the early 1900's, and now, over a hundred years later, “we still don’t know if they are toxic or protective.” That is why CIHR’s investment in Parkinson’s and other neurological research is crucial for better understanding these complex diseases. Dr. McPherson’s success in growing Lewy bodies in the lab and Dr. Gehring’s research into PINK1 and parkin gene mutations demonstrate how CIHR funding leads to innovative, world-class research.

At a glance

Issue

Parkinson’s is a movement disorder with hundreds of possible causes, some genetic, and some random. No cure for the disease exists.

Research

Dr. Peter McPherson’s lab is the first in the world to successfully grow Lewy bodies in a cell culture. Dr. Kalle Gehring discovered a compound restores normal functioning of the parkin gene. Their discoveries offer not only a potential diagnosis for the disease but could lead to better treatment and a cure.

Date modified: